Book Appointment Now
Οι θεραπείες στο ιατρείο μου
Κάποιες από τις μη χειρουργικές θεραπείες που προσφέρω στους ασθενείς μου

Διαδερμική ηλεκτρόλυση
Η μέθοδος EPTE αποσκοπεί στην ευόδωσητων επουλωτικών μηχανισμώνσε διάφορες παθολογίες των μαλακών ιστών (τένοτες, μύες, σύνδεσμοι, κ.α.) σύμφωνα με την κλινική έρευνα και ανάπτυξη της εταιρείας EPTE®.

Προλοθεραπεία
Η «Προλοθεραπεία» είναι αναγεννητική μέθοδος θεραπείας, με αναλγητική δράση, που συμβάλλει στην αναγέννηση των κυττάρων και την ανάπλαση των συνδέσμων και των τενόντων του μυοσκελετικού συστήματος χρησιμοποιώντας τους φυσικούς μηχανισμούς του σώματος μας.

Αθλητική Τραυματιολογία και Προληπτική – Αποκαταστατική Αθλητιατρική
Η ειδική αντιμετώπιση και η αποκατάσταση των ασκησιογενών παθήσεων καθίσταται απαραίτητη όπως και η πρόληψη αυτών.

Υπερβαρική οξυγονο-οζονοθεραπεία
Η οζονοθεραπεία είναι ιδανική για τις παθήσεις του μυοσκελετικού (αθλητικές κακώσεις, τενοντίτιδες, τραυματισμοί μυών), οσφυαλγία, εκφυλιστική αρθρίτιδα γόνατος και ισχίου, στην ογκολογία, στην διέργεση του ανοσοποιητικού (σκλήρυνση κατά πλάκας, νόσος Parkinson) και σε υγιή άτομα για τόνωση του οργανισμού.

Βιολογικές θεραπείες
Θεραπεία χρόνιων και οξέων ορθοπαιδικών παθήσεων όπως και αθλητικών κακώσεων χωρίς χειρουργείο!

Παιδοορθοπαιδική
Εκτός από την κλασική παιδοορθοπαιδική εκτίμηση, γίνεται έλεγχος σκολίωσης με τη μέθοδο της τηλεμετρίας και δίνεται θεραπευτικό ασκησιολόγιο...

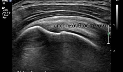
Υπέρηχος μαλακών μορίων
Ο υπερηχοφραφικός έλεγχος διενεργείται με έγχρωμο υπέρηχο τελευταίας γενιάς (ugeo samsung), με τρίπλεξ, ντόπλερ, ελαστογραφία για διάγνωση παθήσεων μυών, φλεγμονές, κυστικές συλλογές...
