Ο υπερηχοφραφικός έλεγχος διενεργείται με έγχρωμο υπέρηχο τελευταίας γενιάς (ugeo samsung), με τρίπλεξ, ντόπλερ, ελαστογραφία για διάγνωση παθήσεων μυών, συνδέσμων και άλλων μαλακών μορίων όπως παραμορφώσεις της δομής τους (φλεγμονές, κυστικές συλλογές), περιλαμβάνεται ειδικό λογισμικό για καθοδηγούμενες εγχύσεις , ώστε η βελόνα να φτάνει με απόλυτη ακρίβεια στο σημείο στόχευσης,

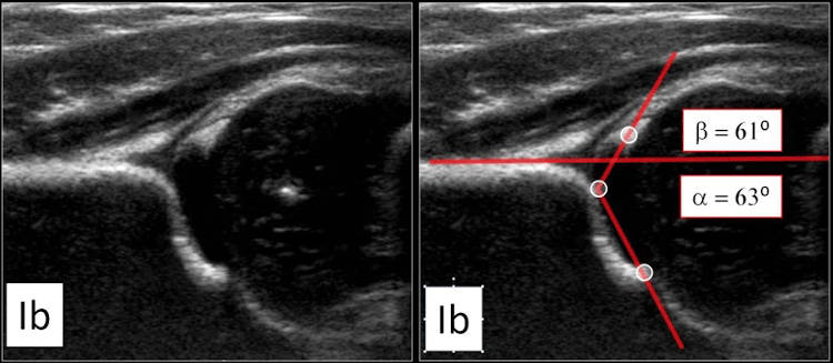
όπως και λογισμικό για έλεγχο δυσπλαστικού ισχίου στα νεογνά (μπορούμε να εξετάσουμε την επικέντρωση της μηριαίας κεφαλής στη κοτύλη, την λοξότητα της κοτύλης και την σταθερότητα της αρθρώσης με τον δυναμικό υπέρηχο σε ειδικό κρεβατάκι)

Περιλαμβάνει κεφαλές Linear και convex